Achsabweichungen / Fehlhaltungen
Achsabweichungen und Fehlhaltungen sind eine wichtige und häufige Ursache für Beschwerden an der Wirbelsäule und den Extremitäten. Durch meine intensive Fortbildung insbesondere in der Thematik der Varus- und Valgusabweichungen der unteren Extremitäten (O- und X-Beine) sowie persönliche Durchführung zahlreicher Achskorrekturoperationen erhalten Sie in unserer Praxis diesbezüglich eine genaue Diagnostik und Behandlung nach aktuellem Stand der Wissenschaft.

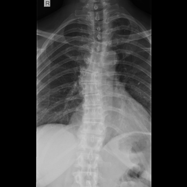
Skoliose
(Achsabweichung der Wirbelsäule):
Eine Achsabweichung der Wirbelsäule entsteht in aller Regel während des Wachstums. In dieser Phase ist eine regelrechte Behandlung der Skoliose von entscheidender Bedeutung, da sich nur hier die Ausprägung der Abweichung noch beeinflussen lässt.
Die Behandlung erfolgt nach Ausschluss anderer zugrunde liegender Erkrankungen in der Regel konservativ mittels Sport, individueller Kräftigung der Rumpfmuskulatur, Haltungsschulung oder spezieller Krankengymnastik nach Katharina Schroth. Bei besonders ausgeprägten Deformitäten steht die konservativ stationäre Behandlung in einer spezialisierten Skolioseklinik oder auch die Behandlung mittels eines Korsetts zur Verfügung. Eine operative Therapie ist meist nicht erforderlich.
Wenn Sie es wünschen, untersuchen wir, ob bei Ihnen oder Ihrem Kind eine behandlungsbedürftige Skoliose vorliegt, und besprechen zusammen, welche weiteren Schritte gegebenenfalls unternommen werden können, um die bestmögliche Funktion Ihrer Wirbelsäule zu erreichen.
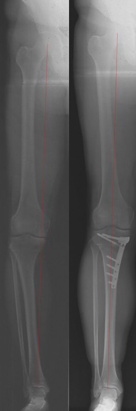
O- bzw. X-Beine sowie Torsionsabweichungen
Im Erwachsenenalter sind ebenfalls nicht selten Achsabweichungen festzustellen, welche mehr oder weniger ausgeprägte Beschwerden verursachen können. So führt eine Achsabweichung der Beine zu einer ungleichen Lastverteilung unter anderem im Bereich des Kniegelenkes, was die Überlastung eines Gelenkabschnittes mit erhöhtem Knorpelverschleiß und somit eine vorzeitige Arthrose mit Schmerzen zur Folge haben kann. Auch bei Erwachsenen mit bereits eingetretener Arthrose sind konservative bzw. auch operative Behandlungsmöglichkeiten gegeben, über die wir Sie gerne informieren und einen Behandlungsplan mit Ihnen entwickeln.
In unserer Praxis erhalten Sie eine sorgfältige Untersuchung und Planung der entsprechenden Maßnahmen.

Beispiel eines operierten Patienten mit einseitiger Kniegelenksarthrose bei O-Bein: Röntgenbild vor- und nach Operation
